• Home
  • Games
    Action Adventure Simulated Business Role Playing Sports Competition Casual Puzzle Card Strategy Music Rhythm Word Puzzle Flight Shooting Love Development
  • Apps
    Business Office Communication and Social Lifestyle and Entertainment Online Shopping Utility Tools Travel Travel Finance Education Learning Information Reading Sports and Health
  • Articles

English 中文(简体) 中文(繁体) 한국어 日本語 Português Español Русский العربية Indonesia Deutsch Français ภาษาไทย
Home Apps Sports and Health NeuroSlice
NeuroSlice
NeuroSliceDownload
1
2
3
4
5
8.5

Zombie Gunship Survival

  • Version 1.1
  • Category Sports and Health
  • Package Name org.homphysiology.neuroslice
  • Update Time November 27, 2025
  • Size 5.27MB
About this app

Neuroanatomy with Interactive Slices and MRI Scans of Human Brain & Spinal Cord

Interactive neuroanatomy app

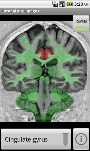
Learn your neuroanatomy using interactive mapped images. Each slice has neuroanatomical regions mapped out so that you can familiarise yourself with nuclei and tracts of the brain and spinal cord. I hope that NeuroSlice will be useful to training neurologists, neurosurgeons, medical students, and neuroscience students.

This is the very first release; if you have any problems with this app, please email me and I'll try and fix it in the update!

Neuroscan comprises 40 images taken from MRI scans and stained brain sections, which have been digitally labeled with the anatomical regions. They are all downloaded in the 6MB so you can browse offline.

The program allows you to

1) touch a region to highlight it, and its name will be displayed

2) select the name of a region, and the region will be highlighted

3) search the database of regions to show which slices a given locus is visible.

Most regions also have a short description, explaining the significance of the region. and can link out to Wikipedia if you have an internet connection.

Finally, there is a testing-mode (beta) in which you can test yourself in one of two ways. Either you have to touch the region whose name is shown, or you have to select the name of the region which is highlighted.

The software is written by Sanjay Manohar ( http://www.smanohar.com ) who also wrote the HOM physiology simulator in collaboration with Roger Carpenter (http://www.homphysiology.org).

To contact the author, email me on [email protected].

Want to know more?

-----------------------------

This app has been developed to support the fifth edition of Neurophysiology: A conceptual approach, 5E by Roger Carpenter and Benjamin Reddi - an unrivalled ‘one stop shop’ for students of medicine, physiology and applied physiology, neurophysiology, neuroscience and other bioscience courses looking for a comprehensive, integrated introduction to the challenging disciplines of neuroscience and neurology. Click here to buy: http://www.crcpress.com/product/isbn/9781444135176

Purchasers of Neurophysiology: A conceptual approach, 5E also get free access to a companion website: http://cw.tandf.co.uk/neurophysiology/ -- which provides further interactive resources to support teaching and learning:

• NeuroLab – interactive exhibits;

• NeuroSound – sound clips illustrating the chapter on the auditory system;

• NeuroVid – a comprehensive set of movie clips showing the components of a standard clinical neurological examination; and

• NeuroQuestions – sixteen sets of interactive MCQs.

Credits

The app was developed by Dr Sanjay Manohar of Oxford University. The material for NeuroScan and NeuroSlice was put together by Alice Miller of Edinburgh University Medical School, and the Java programs for desktop were written by Sanjay Manohar and Robin Marlow.

The histological material was taken, with permission, from Riley HA, An Atlas of the Basal Ganglia, Brain Stem and Spinal Cord, 1943, Williams and Wilkins, Baltimore, and the MRI scans are taken from Gillespie JE and Jackson A (eds), MRI and CT of the Brain, 2000, Hodder Arnold, London, by kind permission.

Much of the development of this material was supported by an award to RHSC from the Institute for Learning and Teaching.

Screenshots
NeuroSlice
NeuroSlice
NeuroSlice
Users also viewed
  • Xperience Sport Club

    Xperience Sport Clubr

    1.0.1 November 30, 2025
    8.7
    1
    2
    3
    4
    5
  • SoftScript

    SoftScriptr

    1.2.11 November 30, 2025
    7.5
    1
    2
    3
    4
    5
  • Zipongo

    Zipongor

    3.5.5 November 30, 2025
    9.3
    1
    2
    3
    4
    5
  • Mini Acuity Lite

    Mini Acuity Liter

    1.0.4 November 30, 2025
    7.1
    1
    2
    3
    4
    5
  • Fishing NH

    Fishing NHr

    2.5.6 November 29, 2025
    8.8
    1
    2
    3
    4
    5
  • Skateboarding News

    Skateboarding Newsr

    Skateboarding 1.7 November 29, 2025
    7.1
    1
    2
    3
    4
    5
  • Bicycle Fit - Sizing Calc

    Bicycle Fit - Sizing Calcr

    BikeFit November 28, 2025
    8.3
    1
    2
    3
    4
    5
  • The Cardio Boss

    The Cardio Bossr

    1.9 November 28, 2025
    7.2
    1
    2
    3
    4
    5
  • CDC Vaccine Schedules

    CDC Vaccine Schedulesr

    11.3.0 November 28, 2025
    7.7
    1
    2
    3
    4
    5
  • India Girls Wallpapers

    India Girls Wallpapersr

    7.0 November 26, 2025
    8.4
    1
    2
    3
    4
    5
You may also be interested
  • Animal Flip Card : Memory Game

    Animal Flip Card : Memory Gamer

    2.1.14 December 1, 2025
    7.3
    1
    2
    3
    4
    5
  • Khuda Aur Mohabbat

    Khuda Aur Mohabbatr

    10.17.7 December 1, 2025
    7.3
    1
    2
    3
    4
    5
  • Phase Xtra Rummy

    Phase Xtra Rummyr

    4.2 December 1, 2025
    9.4
    1
    2
    3
    4
    5
  • Tic Tac Toe Ultimate Glow

    Tic Tac Toe Ultimate Glowr

    1.0 December 1, 2025
    7.8
    1
    2
    3
    4
    5
  • Police Helicopter On Duty 3D

    Police Helicopter On Duty 3Dr

    1.0.0 December 1, 2025
    9.2
    1
    2
    3
    4
    5
  • Duck Games for Toddlers - Free

    Duck Games for Toddlers - Freer

    1.0 December 1, 2025
    7.9
    1
    2
    3
    4
    5
  • Freezer Clean Up

    Freezer Clean Upr

    1.1 November 30, 2025
    7.6
    1
    2
    3
    4
    5
  • City Racing Games

    City Racing Gamesr

    2.0 November 30, 2025
    8.2
    1
    2
    3
    4
    5
  • Bokuto Nyanko:Kittie Collector

    Bokuto Nyanko:Kittie Collectorr

    1.0.0 November 30, 2025
    8.2
    1
    2
    3
    4
    5
  • Army Sniper Shooter Squad

    Army Sniper Shooter Squadr

    1.2 November 30, 2025
    8.1
    1
    2
    3
    4
    5
Categories Games
  • Action AdventureAction Adventure
  • Simulated BusinessSimulated Business
  • Role PlayingRole Playing
  • Sports CompetitionSports Competition
  • Casual PuzzleCasual Puzzle
  • Card StrategyCard Strategy
  • Music RhythmMusic Rhythm
  • Word PuzzleWord Puzzle
  • Flight ShootingFlight Shooting
  • Love DevelopmentLove Development
Categories Apps
  • Business OfficeBusiness Office
  • Communication and SocialCommunication and Social
  • Lifestyle and EntertainmentLifestyle and Entertainment
  • Online ShoppingOnline Shopping
  • Utility ToolsUtility Tools
  • Travel TravelTravel Travel
  • FinanceFinance
  • Education LearningEducation Learning
  • Information ReadingInformation Reading
  • Sports and HealthSports and Health
About Privacy Policy Terms of Service Cooking Policy

© Copyright 2017-2025 downtj.com